2018年8月16日 星期四

【#高位頸椎顱底腫瘤案例】



這兩天幫兩位病患手術
都是高位頸椎/顱底的腫瘤
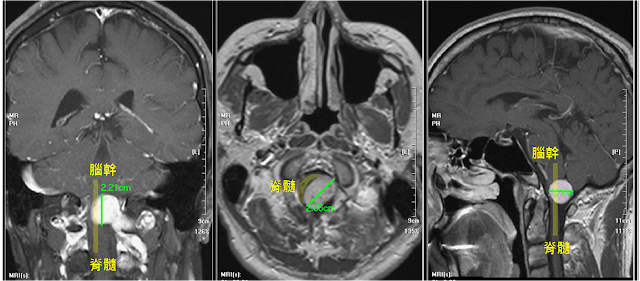
腫瘤位於頸椎第一節和枕骨大孔之間
把脊髓壓得扁扁的
正常的脊髓從橢圓形被壓成新月形
造成患者肢體無力、麻痛等問題......



腫瘤皆影響到椎動脈
椎動脈是供應腦幹血液的動脈
若有損傷
病患可能癱瘓、昏迷、死亡


其中一位病患的腫瘤形狀不規則
脊椎形狀扭曲
腫瘤除了壓扁脊髓
還向前影響到內頸動脈和靜脈
手術所有差錯
病患非死即傷

我花了相當長的時間
忘記吃午餐、晚餐
忘記需要上廁所
從早開到晚
努力將腫瘤拿乾淨

讓我欣慰的是
兩位病患都恢復得很好、症狀都改善了 😊
今日準備轉出加護病房

最後
感謝轉介病患給我的醫師
謝謝你們信任我
小弟使命必達

沒有留言:

張貼留言